I am often asked this question, and see it improperly discussed online and even by medical professionals. The simple answer is that tight shoes are not the cause of hammertoes, despite popular belief. Hammertoes, which is a term often used to describe a plethora of conditions in which the toes curl up or rotate, haveContinue reading “Do tight shoes cause hammertoes?”
Tag Archives: toe pain
What causes the bump on top of my big toe joint?
In this post I will discuss the ‘bump’ some people have on top of their big toe joint. Many people are aware of the bump some people have along side of the big toe joint, as it goes by the name of a ‘bunion’. What is less known is the cause and treatment of aContinue reading “What causes the bump on top of my big toe joint?”
What Can Be Done About A Thick and Painful Toenail?
Many people are surprised to find out that toenails are relatively fragile appendages of the body. Toenails can take a mild amount of abuse from tight shoe pressure, years of toe stubbing or objects dropping on them, damage from jogging and exercise, or changes due to chronic fungus infections. Over time though, the nail rootContinue reading “What Can Be Done About A Thick and Painful Toenail?”
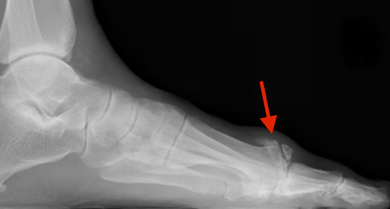
Do Broken Toes Really Need Medical Attention?
One of the most common foot injuries is the toe fracture. This seemingly minor injury can be the source of much pain and annoyance, and often hails from a midnight misadventure to the bathroom as a dresser suddenly lurches in the way of the unsuspecting sleepy victim. The common assumption is that there is nothingContinue reading “Do Broken Toes Really Need Medical Attention?”
