This week, I will conclude my discussion on the treatment of flat fee by discussing surgical correction. Surgery is usually reserved for people who have failed orthotic therapy, or those who have rigidly flat feet that generally will not benefit from orthotic inserts. Each surgeon has their own criteria regarding how early they consider surgically correcting flat feet. Some surgeons wait until all other options are exhausted, and others consider surgery much sooner in the treatment process.
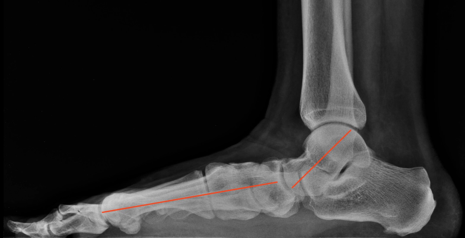
Surgery must correct all components of a deformity that can be quite complex. There are three different lines of motion that are involved in the flat foot deformity. Each individual case has a different arrangement, where some feet are more deformed in one or two lines of motion compared with others. The abnormal motions that dominate the deformity are the ones the surgeon needs to concentrate on, as this will affect their choice of surgical procedure. Different surgical procedures have been developed to deal with the many nuances of the flat foot deformity. A typical flat foot reconstructive surgery involves several different individual procedures to correct each component of the deformity. The flat foot deformity can involve a shifting of the foot outward, a bending of the foot upward, and/or a rolling of the foot inward toward the big toe side. By addressing the components that dominate the deformity, a surgeon can effectively reconstruct the foot to obtain better foot structure. These procedures involve various combinations of bone cuts and soft tissue procedures that rotate, flex downward, or lengthen the foot. More flexible deformities can tolerate the use of a blocking cone-like implant that keeps the foot from flattening, especially in younger patients. Given the nature of the bone cuts, the foot and leg is usually immobilized during the recovery period, which can take two to three months before regular shoes can be worn. Patients with the implant recover much faster.
Many people who have flat foot reconstructive surgery do quite well. Such surgery does carry with it potential complications, including over or under correction, non-fusing bones, infection, and scar tissue formation. Depending on general health, some people may not be good candidates for what amounts to be a mildly extensive foot procedure. Proper following of all postoperative instructions is very important, as that alone can sometimes be the difference between a successful surgical outcome and a poor result. These procedures are generally performed in an outpatient, same-day setting.
As you can see, the flat foot deformity is a very complicated condition that requires very careful consideration of all it’s components for treatment to be successful. While most people do well in orthotics, surgery is needed in more advanced cases.
