Finishing the discussion from the last several posts, I would like to discuss one more condition in children that can cause swelling and warmth in the foot.
This final group of conditions is not necessarily unique to children, but many of the individual conditions in this group appear during childhood as opposed to adulthood.
While one never wants to discuss children and cancer in the same breath, the fact of the matter is that cancer can occur in kids. These cancers can also occur in the lower leg and foot. Fortunately, the incidence of pediatric cancers is extremely low, and they are rather rare. Additionally, their appearance in the feet and ankles is rare, as many appear in the thigh and elsewhere. However, this always needs to be a consideration when looking at warmth and swelling the foot and ankle.
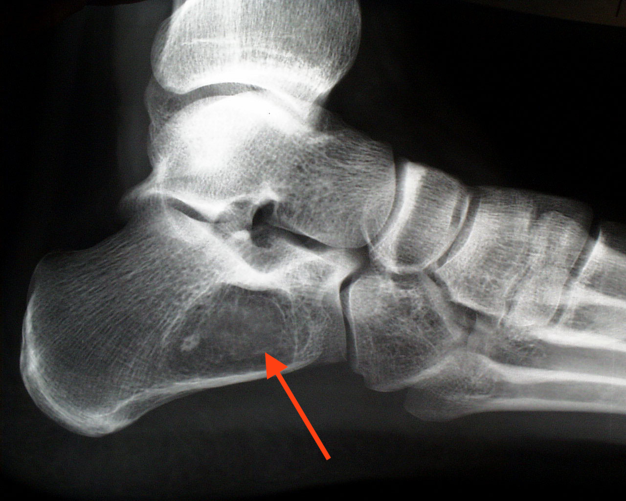
There are multiple forms of malignant cancer that can afflict tissues in the foot, as well as multiple forms of benign cancer. The more common of these uncommon diseases include malignant cancer of or in bone (osteosarcoma, Ewing’s sarcoma), and of muscle (rhabdomyosarcoma). Benign tumors in this list include masses in bone (osteochondroma, enchondroma, bone cysts), and in fibrous tissue, fat tissue, and blood vessels.
The more serious bone cancers tend to be seen in teenagers, while benign masses tend to be seen in younger children. The symptoms often include pain, local warmth in the skin, and sometimes swelling or the appearance of a lump over the tumor site. Diagnosis begins with a simple exam and x-rays, and further testing is performed if a tumor is suspected. Malignant tumors can threaten the leg, and can potentially spread to other organs, including the lungs, leading to death. Early treatment is vital to saving the affected leg and the child’s life. Benign tumors usually cause little in the way of real problems, but may be painful depending on their size and location and sometimes they have to be removed.
While tumors in kid’s feet are uncommon, and malignant cancer is rare, these horrible diseases still need to be considered a possibility during any evaluation of warmth and swelling in kid’s feet and ankles (and lower leg), as should all of the other conditions mentioned in the last several posts. For these reasons, swelling and warmth should never be assumed to be a part of the process of growing, and parents of children with new warmth and swelling in their feet/ankles should take their child to see a foot specialist for an evaluation.
