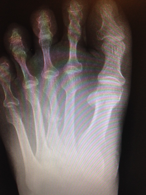
Metatarsal fractures are common foot injuries that are painful, and often under treated by emergency rooms that initially diagnose them. The metatarsals are the long bones of the foot that extend from the middle of the foot to the toe bases. There are five of them, corresponding with the five toes. The most common fractures of these bones involve the second through fourth metatarsals. The first metatarsal, corresponding with the big toe, is far less commonly fractured due to its size and stability, and when it is fractured this is usually related to a concurrent dislocation of the more than one metatarsal in the middle of the foot. The fifth metatarsal, corresponding with the little toe, can have fractures similar to the second through fourth metatarsal, although it also has more unique fracture patterns that can develop at its base. The uniqueness of these fractures, known as a Jones fracture and a styloid avulsion fracture, are due to the increased mobility this bone has over the other metatarsals, leading to more instability.
In general, metatarsals are roughly shaped like the chicken bone in a drumstick, with a long shaft and an outward expansion on either end. Fractures can occur at either the head of the bone, the neck, the shaft, or the base. The location of the fracture depends on where the force is being applied. There can also be variability in the shape of the fracture. Some fractures go across the bone in a straight line, others veer off at an angle. The fracture may be in several pieces, or may be completely crushed. Movement can sometimes occur where one of the fracture pieces shifts up, down, or to one side of its natural alignment. It is also possible for the fracture to be incomplete and only pass through part of the bone. Stress fractures can also occur, in which a microscopic fracture occurs slowly as a result of chronic stress, and not so much an immediate injury.
Treatment of metatarsal fractures is sometimes inadequate due to a lack of appreciation for the biomechanics of the foot in the emergency room setting, where far worse injuries are understandably given more consideration. Patients are often discharged with either an ACE wrap or a simple hard soled surgical shoe, especially if the fracture is not displaced and involves the central three metatarsals. Fractures of the first and fifth metatarsals are treated more appropriately. Unfortunately, the treatment of the central metatarsals often is insufficient to control the increased upward force placed on the metatarsals during the walking cycle, as it is assumed they are more stable. While there is more stability of these three central metatarsals, the forces applied across them as one goes through the motion of walking is still high, and depending on the length of the metatarsal in relationship to those next to it, as well as one’s general foot structure (low arch, normal, high arch), the force can be significantly greater, leading to instability of the fracture. If the fracture moves out of alignment, or has micromotion during the healing process, the result could be delayed healing in the least, and a complete lack of healing at the worst. In between could be a healing of the fracture in an abnormal position, which may cause abnormal positioning of the toe and could lead to painful corns and calluses, as well as an increased potential for skin wounds in diabetics as the pressure points of the foot changes.
Metatarsal fractures (two through four) are best treated by using a pneumatic walking fracture boot to keep the foot stable while they heal, which usually takes six weeks. First and 5th metatarsal fractures generally need to be immobilized in a cast, with no weightbearing allowed, or many times surgery is advised as the primary treatment to secure the bone together with metal fixation (usually screws). Central metatarsal fractures that have displaced require surgery to restore the normal anatomic position. Fractures that have resulted in a significant crush injury to the bone where it is in multiple pieces are often treated simply with removal of the crushed bone, especially when it involves the head and neck of the bone, as these types of fractures do not heal well, and one can still easily walk with only part of a metatarsal (excepting the first metatarsal).
Given the importance of maintaining proper bone alignment, it is important that one receive proper care when healing from a metatarsal fracture. While an after-hours visit to an emergency room or urgent care center is often necessary to ensure one does not have a more serious injury, an immediate follow-up with a podiatrist should be part of the treatment course to ensure that the fracture heals quickly and in an appropriate position.
