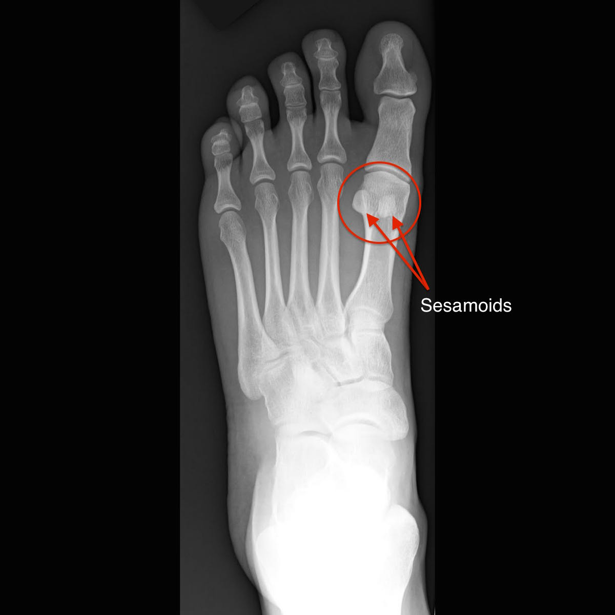
Sesamoiditis is inflammation of one of two small, egg-shaped bones about the size of a peanut M&M candy sitting under the big toe joint. The sesamoids are found in every foot, and can appear as complete bones, or can form after birth in two or three separate pieces. They provide an assisting role in bearing weight across the big toe joint and stabilize the various structures that cross over and around the big toe joint. Injury to these bones can happen on an acute and chronic basis.
Acute injury to the sesamoids can occur during activities related to running or kicking sports, as well as other non-sports related injuries like from falling from a height onto the ball of the foot, crushing injuries to the big toe joint, directly kicking an object that forces the big toe upwards, or a direct blow to the bottom of the foot. Chronic injuries to the sesamoids occur when there is repetitive pressure on the ball of the foot from activities such as dancing or stair climber use, as well as during repetitive work-related activities, such as pedal use in machinery or platform standing. Usually, only one of the two sesamoids becomes injured, as injury to both is possible but uncommon.
Symptoms of sesamoiditis can include a sharp pain or dull ache on the bottom of the big toe joint. This pain becomes worsened when the toe is flexed in an upwards direction. Any activity that stresses this joint, including walking, running, and jumping, can cause pain. This is especially true while one is barefoot. The use of supportive flat shoes tends to decrease the pain, while the use of high heeled shoes magnifies the pain. The tissue under the big toe joint may feel swollen or full, and may even be warm to the touch in less common cases.
Sesamoiditis is diagnosed during a simple foot exam, although x-rays are often used to rule out a stress fracture or true fracture of the bone. Stress fractures of the sesamoids can mimic the symptoms of sesamoiditis, and may be difficult to diagnose properly as they may not show up early on the x-ray. MRI may be needed to rule a stress fracture out.
Treatment of sesamoiditis involves removing the inflammation, and reducing the stress that caused it in the first place. Inflammation can be reduced by taking anti-inflammatory medications, icing, or some times a steroid injection if no stress fracture is suspected. The underlying stress is addressed by using offloading padding or specialized inserts to reduce pressure under the ball of the foot, or by modifying the activity that caused it in the first place. The use of stiffer-soled shoes and reducing impact is necessary. More serious cases may require immobilization in a walking boot or in a cast for up to several months. Cases that simply won’t heal with any of these measures may require surgical intervention. Surgical removal of one of the sesamoids is typically effective at eliminating the pain, and is sometimes also necessary when stress fractures or true fractures won’t heal.
