The foot can become painful due to arthritis, although far less commonly than many people assume. Several joints in the foot can eventually degenerate into a state of inflammation and pain, and a common one is found at the base of the great toe. In and of itself, arthritis involves wearing down of the smooth cartilage surface that helps the bones of a joint to glide over each other. The tissues that directly surround and suspend the joint then become inflamed and painful as the joint tries to move. Spurs can develop on the bones around the joint. This common process is called osteoarthritis, and it is what most people refer to when speaking of ‘arthritis’. There are a number of other forms of arthritis, and these have different causes and symptoms.
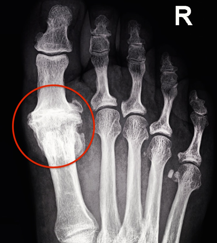
Arthritis of the big toe joint often develops over time due to a number of reasons. Usually, there is some structural abnormality in the base of that joint that allows excessive and premature wear of the joint cartilage. This can include a bone that is too long, too short, angled too high, or angled too low. Arthritis can also occur in the years following a fracture or serious joint injury. The motion of the big toe joint becomes reduced over time due to this wear regardless of the cause. The reduction in motion of the joint, and excessive compression force on top of the joint from it trying to force lost motion, causes bone spurring to form. This usually occurs on top of the head of the 1st metatarsal, which is the long bone that forms the base of the big toe joint. The spurs become painful as inflammation develops in the joint below, and also in the tissue that covers the spurs above. What is felt externally is the painful enlargement of the spur below, which is also irritated by pressure from shoes. Movement of the inflamed joint itself is also painful.
Not to confuse things further, but this spur on the top of the joint is commonly called a dorsal bunion by physicians, and can actually be seen with a traditional bunion. However, it really is a different process than the traditional bunion. The most commonly referred to term that describes this condition amongst foot specialists is hallux limitus. Hallux rigidus is also used when the joint motion is severely decreased.
Treatment of great toe joint arthritis usually involves surgery. There are some conservative options that can be explored, although none of them result in long term relief for most people. These include steroid injections into the joint or anti-inflammatory medication. While these measures may work for a long period of time in hip and knee arthritis, the demands placed on the great toe joint during walking usually surpass any relief medication can provide. Other options include the use of stiff soled shoes and specially modified custom orthotics to stiffen the surface under the joint and reduce its motion. Surgery is used for long term correction, and can be performed one of three ways. One technique simply involves shaving the spurs down, known as a cheilectomy. For some, this procedure is very effective, and preserves the joint. Unfortunately, this does not correct the underlying structural problem and over time the spurs can reform, along with pain associated with the arthritic process in general. This can be improved with the addition of a procedure that decompresses the joint by moving the 1st metatarsal bone back slightly. However, this is usually only helpful in early stages of the disease. What is often needed is a procedure that replaces the joint or fuses it, stopping motion altogether. Joint replacement, or implants, of the great toe joint have been around for some forty years. There have been various designs, and while many early implants did not have satisfactory results, ones used most frequently today have had good results and patient satisfaction. The more effective implants are metallic, and replace only one side of the joint. Implants that replaced both sides had numerous issues and did not work as well in the long term. While these implants restore range of motion to the joint and stop pain, they do not return the joint to the original state before the arthritis developed, and some stiffness and difficulty in squatting does remain forever. Fusion of the joint is the only preference of some surgeons to address great toe joint arthritis, and while this is sharply debated amongst surgeons, the use of fusion is universally accepted in cases of very advanced arthritis. In this procedure, the entire remaining cartilage surface is removed from both sides of the joint, and hardware (like plates and screws) is used to hold the bones together until they fully fuse into one, a process that can take 6-8 weeks on average. No motion remains, although no pain remains either. One can lead a very active life with a fusion of the great toe joint, with only minimal limitations.
