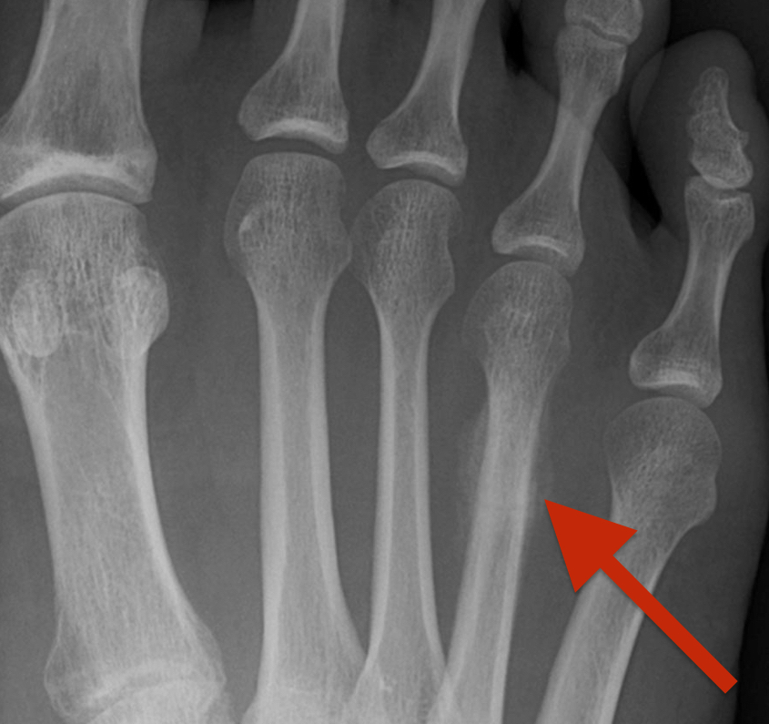
Stress fractures differ from regular fractures in a very distinct way. Regular fractures of bone in the foot result from traumatic injuries like twisting injuries, heavy weight on the foot, or smashing the foot against a harder object, resulting in force that is strong enough to break bones. Stress fractures are caused by much more subtle force that occurs over a long period of time. Repetitive stressful pressure from activity in some instances can cause microscopic damage in the inner content of the bone. As these stress forces continue to act on the bone, the damage advances. Eventually, an interior fracture occurs in the bone, causing pain, swelling, and warmth. In some instances the stress fracture can eventually lead to a regular fracture as the shell of the bone fractures with the interior.
What is the difference between a stress fracture in the foot, and a regular fracture?
